I nostri casi

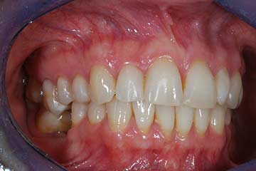
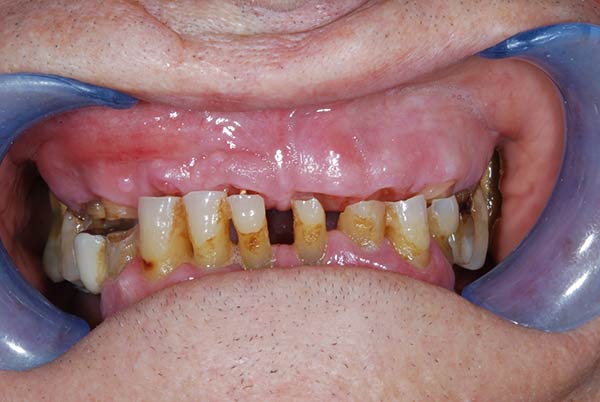
Riabilitazione implanto - protesica superiore ed inferiore in un paziente di 84 anni

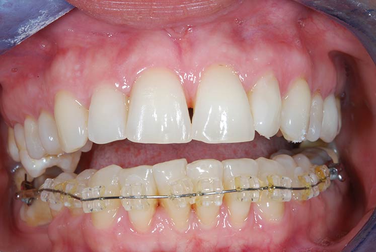
Trattamento ortodontico nell'adulto con intrusione del I° molare superiore mediante l'utilizzo di mini impianti

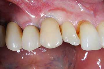
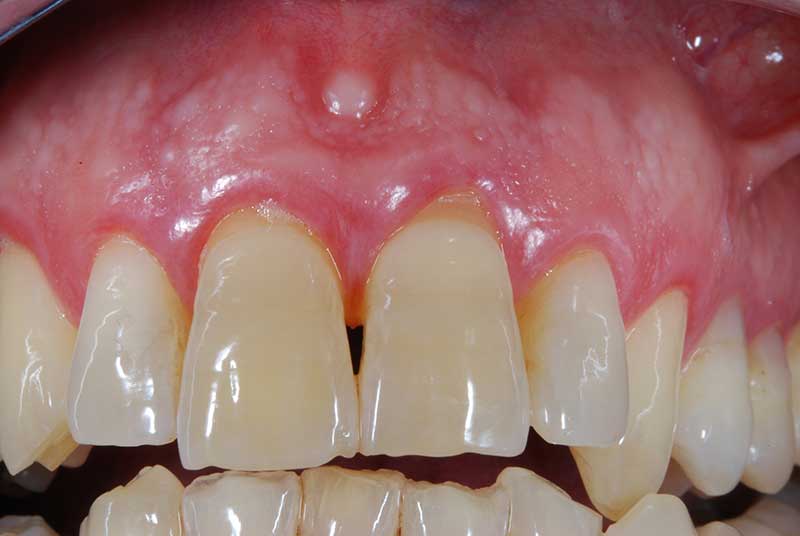
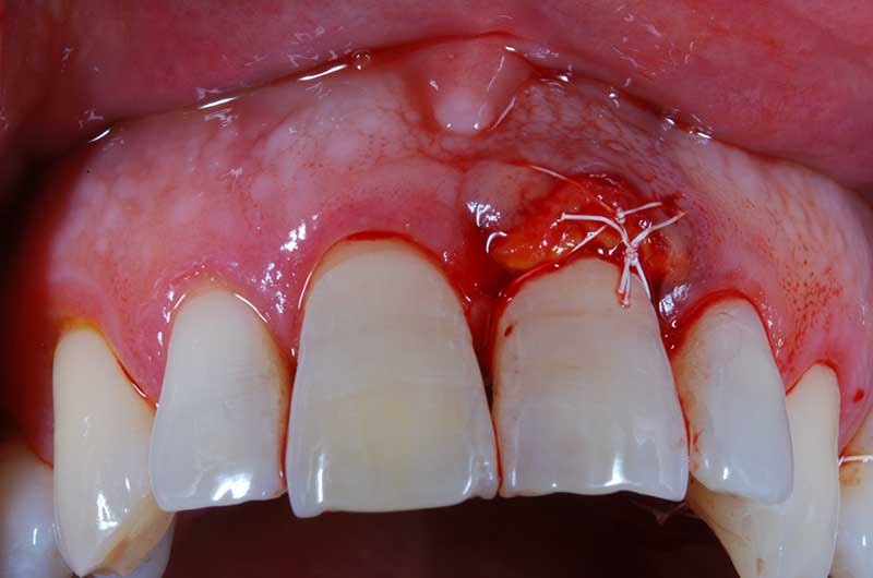
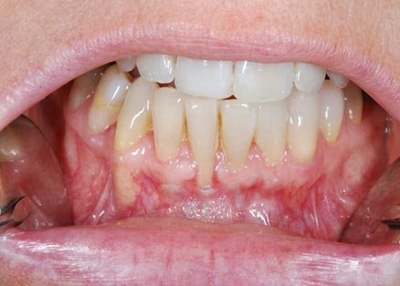
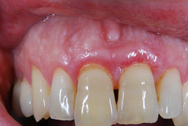
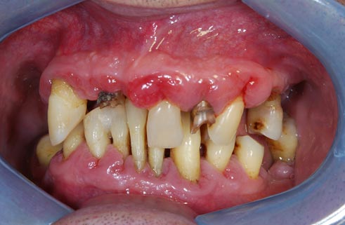
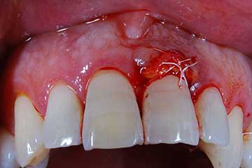
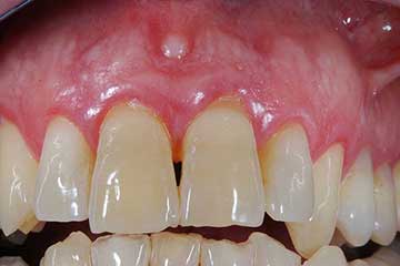
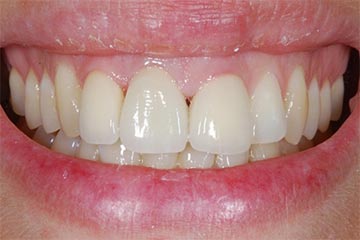
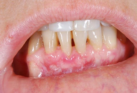
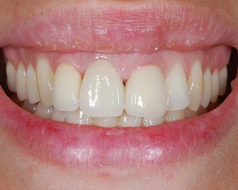
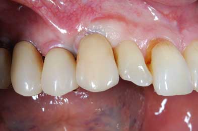
Lembo libero per correggere una recessione gengivale

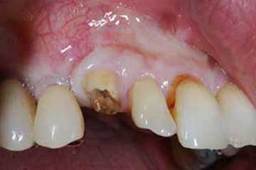
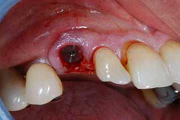
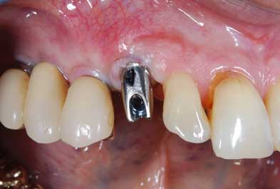
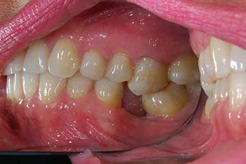
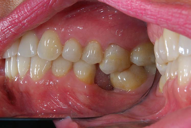
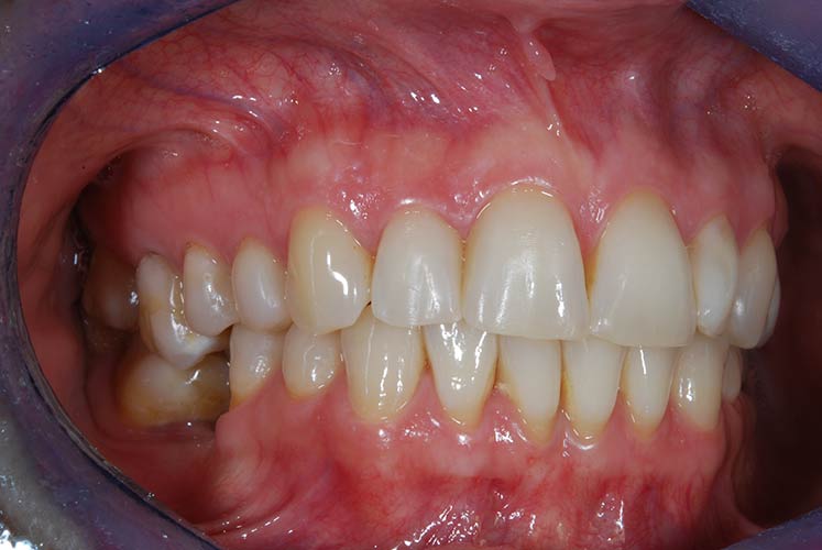
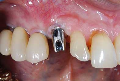
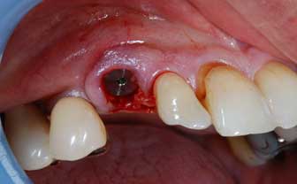
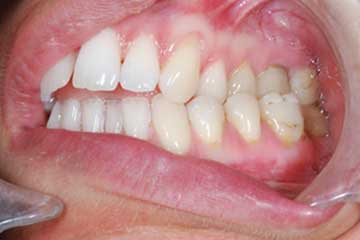
IMPIANTI POST-ESTRATTIVI

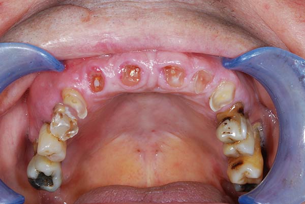
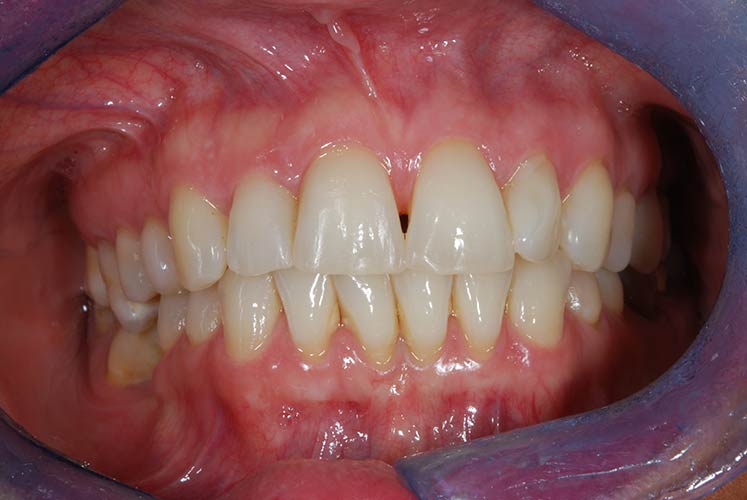
Con protesi fissa superiore e protesi fissa inferiore
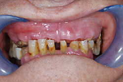
I denti irrecuperabili dell'arcata superiore ed inferiore del paziente di anni 65 sono stati sostituiti da 10 impianti, cioè protesi radicolari endo-ossee che sostengono le protesi fisse superiore ed inferiore.

Protesi totale con mesostruttura avvitata su 5 impianti in un paziente edentulo

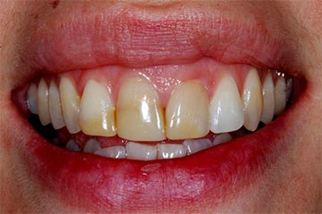
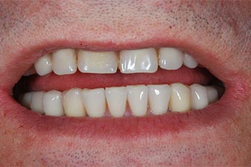
Faccette estetiche in ceramica

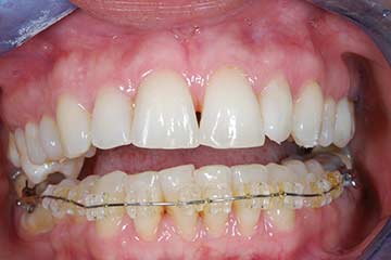
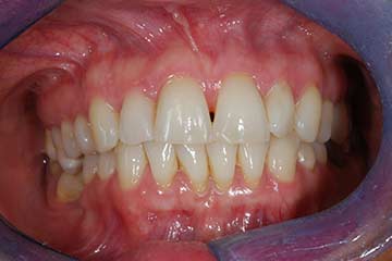
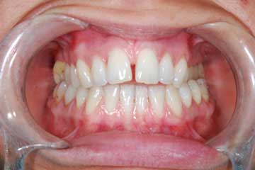
Riabilitazione gnatologica, ortodontica ed estetica

Durata del trattamento: un anno

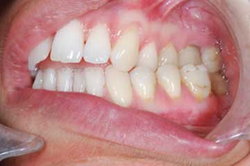
Trattamento ortodontico nell'adulto

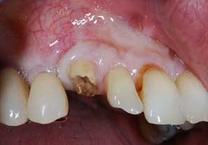
Impianto post-estrattivo

In un paziente cardiopatico di 72 anni

Lembo libero per correggere una recessione gengivale